Menu
Case histories
Lectures
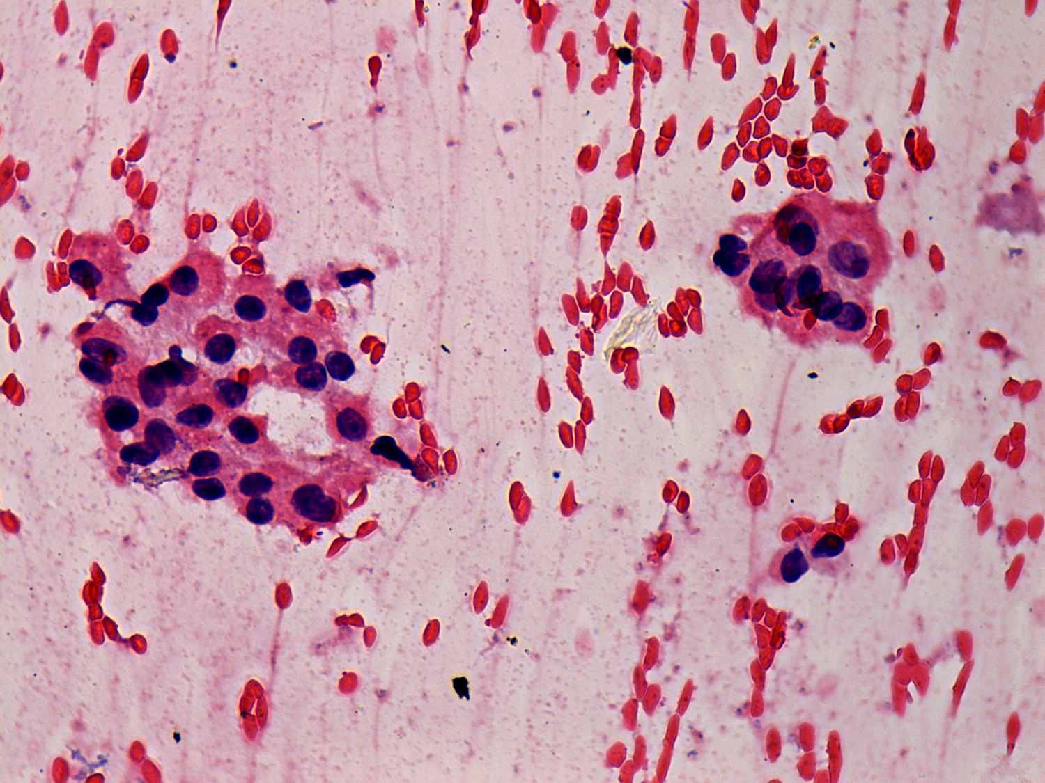
Oxyphilic adenoma
List of cases
Videorecords
Pitfalls
Course book
Course on US
Oxyphilic adenoma - Case 1. (cytologic picture 4)
Pap-smear, 400x.