Menu
Case histories
Lectures
Oxyphilic adenoma
List of cases
Videorecords
Pitfalls
Course book
Course on US
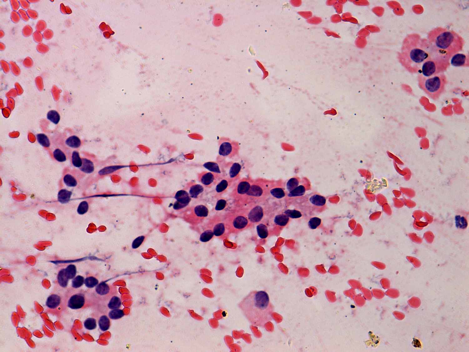
Oxyphilic adenoma - Case 1. (cytologic picture 3)
Pap-smear, 400x. Follicular cells have abundant cytoplasm, but do not display prominent nucleoli.