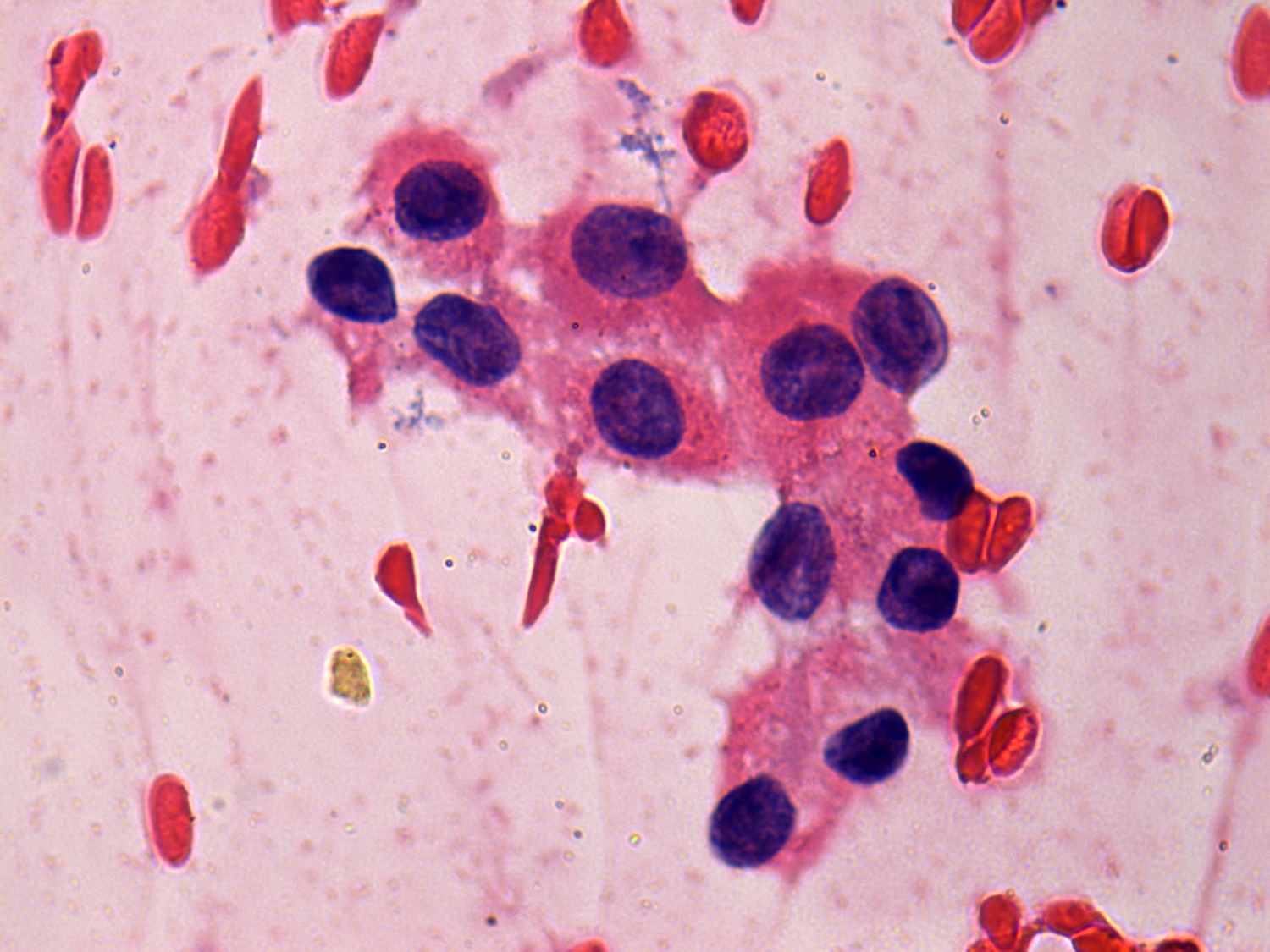
Oxyphilic adenoma - Case 1. (cytologic picture 5)
|
|
|
|
Pap-smear, 1000x. Note the finely granular cytoplasm and the lack of prominent nucleoli. Follicular cells exhibit only mild anisonucleosis.

