Oxyphilic adenoma - Case 2. |
|
Clinical data: a 35-year-old woman was referred for an evaluation of a newly discovered thyroid nodule.
Palpation: a nodule in the right lobe.
Functional state: euthyroidism with TSH 2.75 mIU/L.
Ultrasonography revealed a moderately hypoechogenic, partly cystic nodule in the right lobe. The nodule displayed perinodular blood flow, while the presence of a halo sign was equivocal. The left lobe was echonormal with a small hypoechogenic lesion.
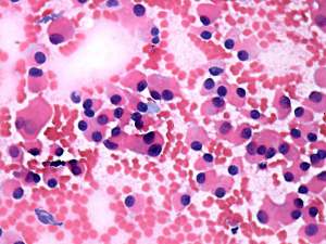
Cytological report: Hürthle-cell tumor.
Histopathology disclosed Hürthle-cell adenoma.










