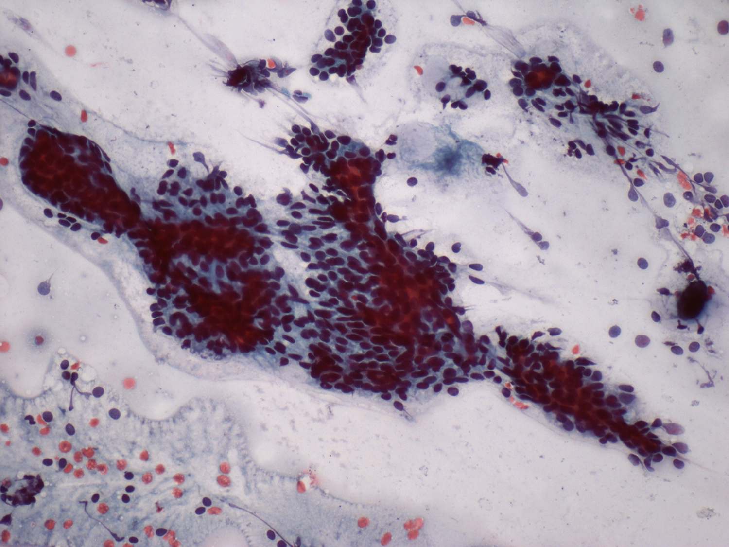
Secondary thyroid carcinomas - Case 15.
Metastasis of a laryngeal adenoid cystic cancer (cytologic picture 2)
|
|
|
|
|
Pap-smear, 200x. Dispersed naked, elongated nuclei are also seen on the smear.

