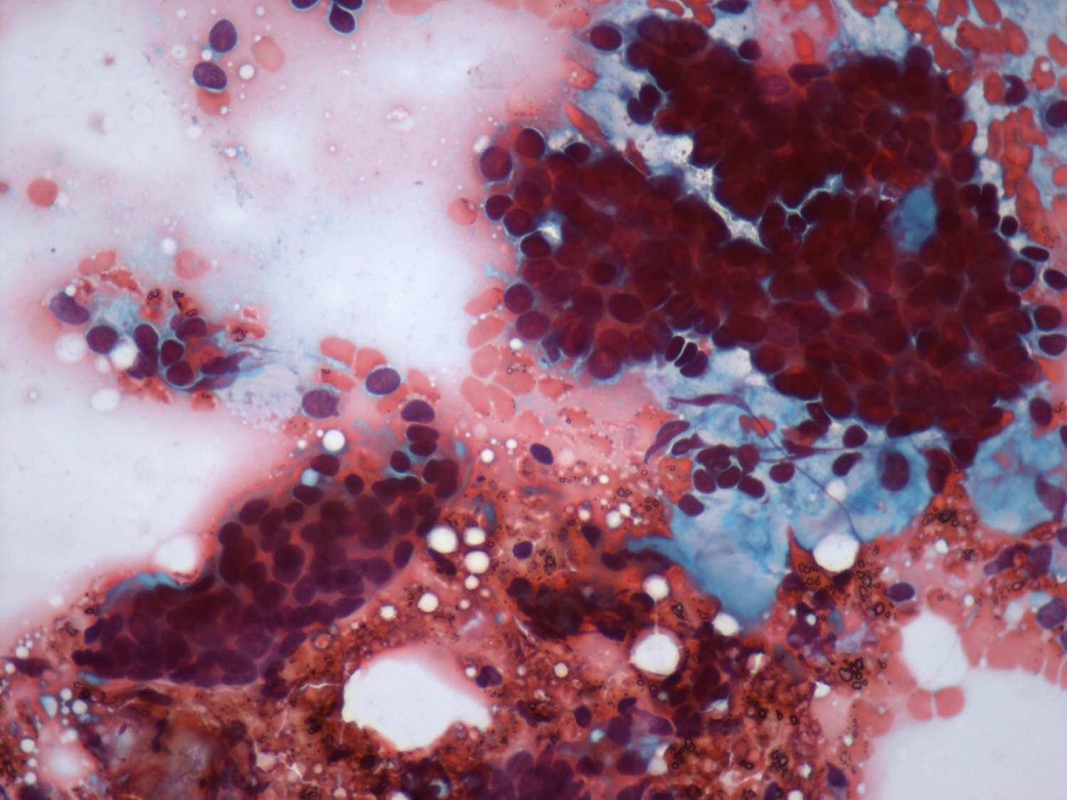
Secondary thyroid carcinomas - Case 15.
Metastasis of a laryngeal adenoid cystic cancer (cytologic picture 4)
|
|
|
|
|
Pap-smear, 400x. These clusters highly resembles cell groups of a papillary cancer.

