Menu
Case histories
Lectures
A new approach
List of cases
Videorecords
Pitfalls
Course book
Course on US
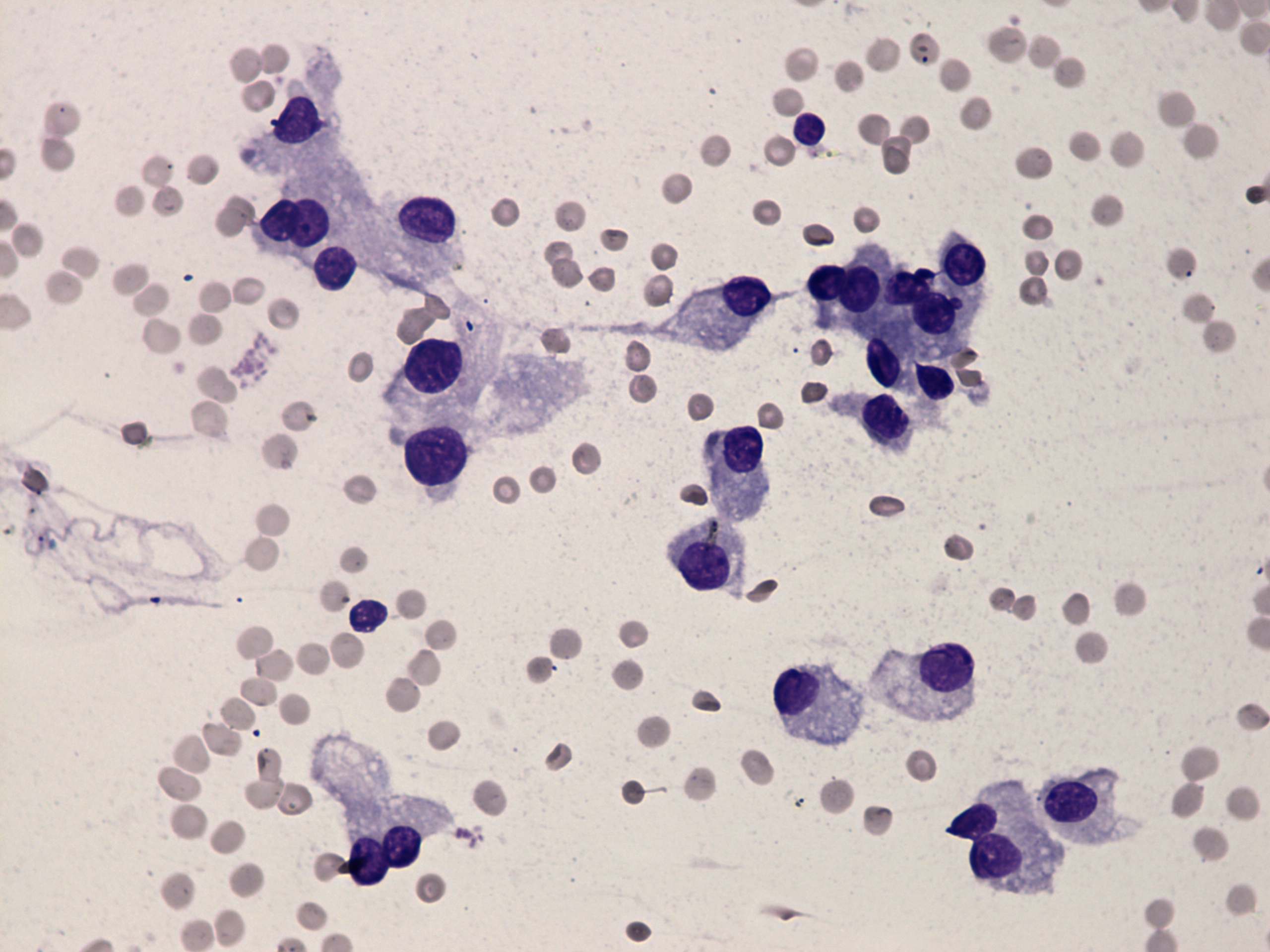
The role of complex diagnosis - follicular proliferation - Case 7. (cytologic picture 6)
Wright-Giemsa staining, 400x. Dissociated cells presenting oxyphilic metaplasia.