Menu
Case histories
Lectures
Lymphocytic thyroiditis
List of cases
Videorecords
Pitfalls
Course book
Course on US
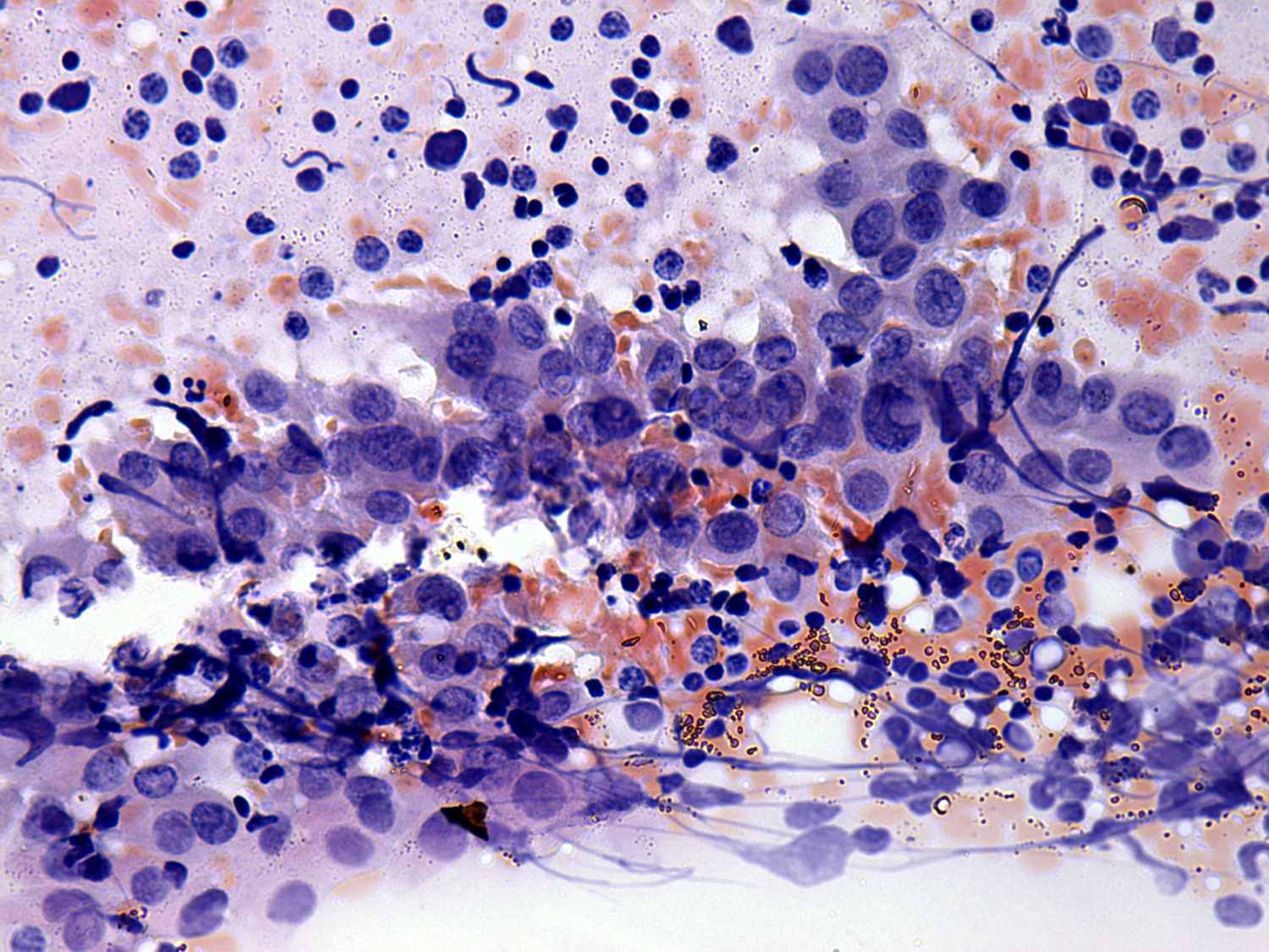
Chronic lymphocytic thyroiditis - Case 15. (cytologic picture 3)
Pap-smear, 400x. Oxyphilic cell groups in heterogeneous lymphoid background.