Chronic lymphocytic thyroiditis - Case 15. |
|
Clinical data: a 52-year-old hypothyroid woman was referred for an evaluation of a nodule detected by an ultrasound examination.
Palpation: the thyroids were moderately firm. No nodule could be palpated.
Functional state: euthyroidism on daily 75 microgram levo-tiroxine TSH 2.03 mIU/L.
Ultrasonography: the thyroids were moderately hypoechogenic. The dorsal part of the left lobe and the isthmus was more hypoechogenic. This hypoechogenic part seemed to be a nodule on certain ultrasound sections, but thorough analysis excluded the possibility of a nodule in a pathological sense.
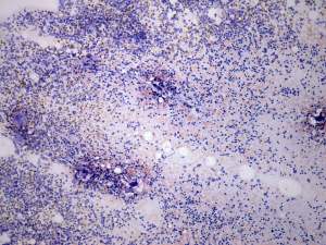
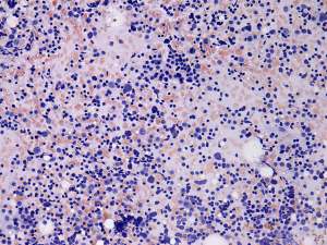
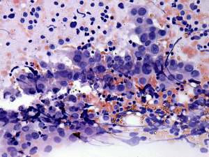
FNAC disclosed Hashimoto's thyroiditis.
Comment: it is worth repeatedly analyzing the video recording. The thyroid must be evaluated in two perpendicular sections in order to avoid the misdiagnosis of a pipe-like lesion or area as a nodule.
The case is demonstrated among edifying cases, too (No 12).
.










