An operated thyroid - Case 1. A patient with an unilateral subtotal thyroidectomy
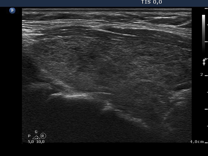
Three years after surgery (ultrasonographic picture 2)

Upper part of the right lobe, longitudinal scan. There are numerous small hypoechogenic areas in the enlarged thyroid.
|