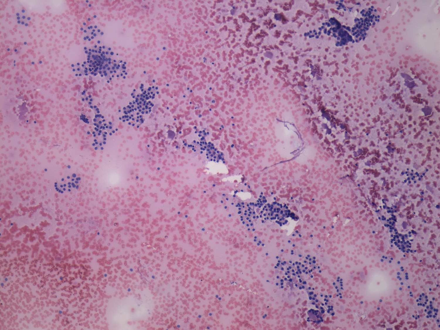
Benign nodular hyperplasia - Case 1. (cytologic picture 1)
|
|
|
|
|
Pap-smear, 100x. There is diffuse colloid precipitate in the background. Thyrocytes form micro- and normofollicles.

