Menu
Case histories
Lectures
Nodular goiter
List of cases
Videorecords
Pitfalls
Course book
Course on US
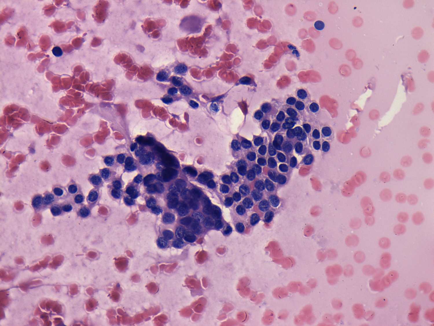
Benign nodular hyperplasia - Case 1. (cytologic picture 3)
Pap-smear, 400x. Follicular cells are of even size.