Menu
Case histories
Lectures
Lymphocytic thyroiditis
List of cases
Videorecords
Pitfalls
Course book
Course on US
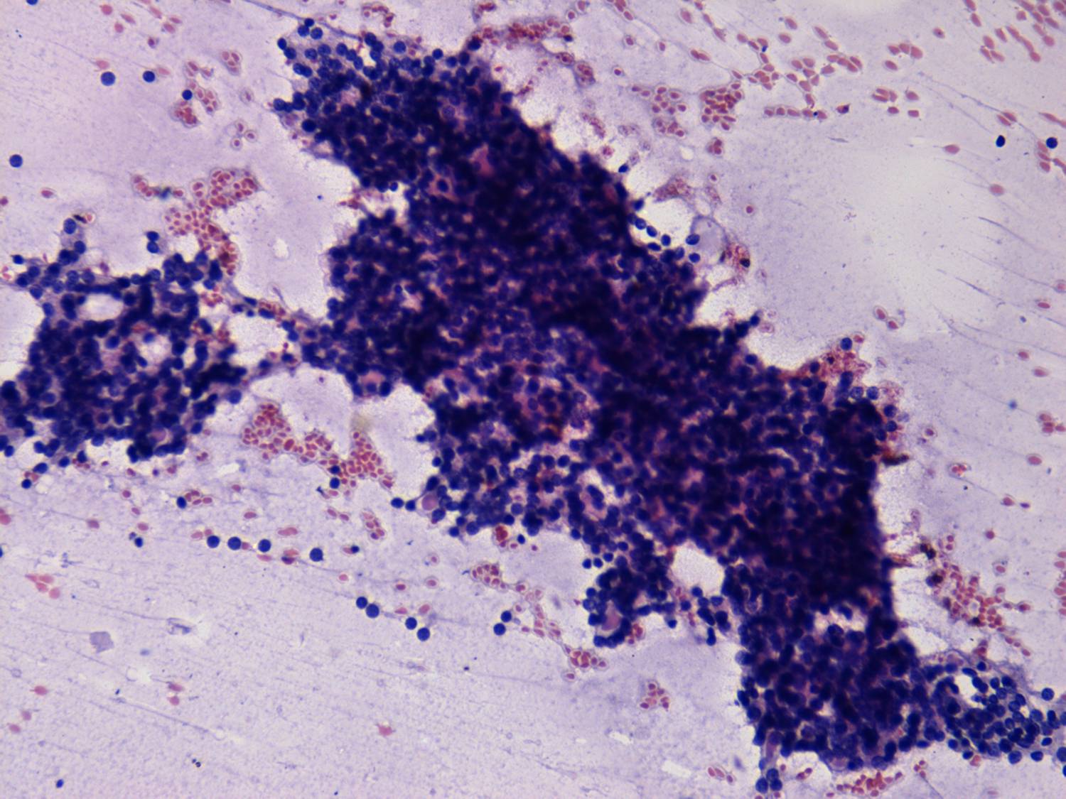
Chronic lymphocytic thyroiditis - Case 24. (cytologic picture 2)
Pap-smear, 200x. Papillary cell groups at higher power field.