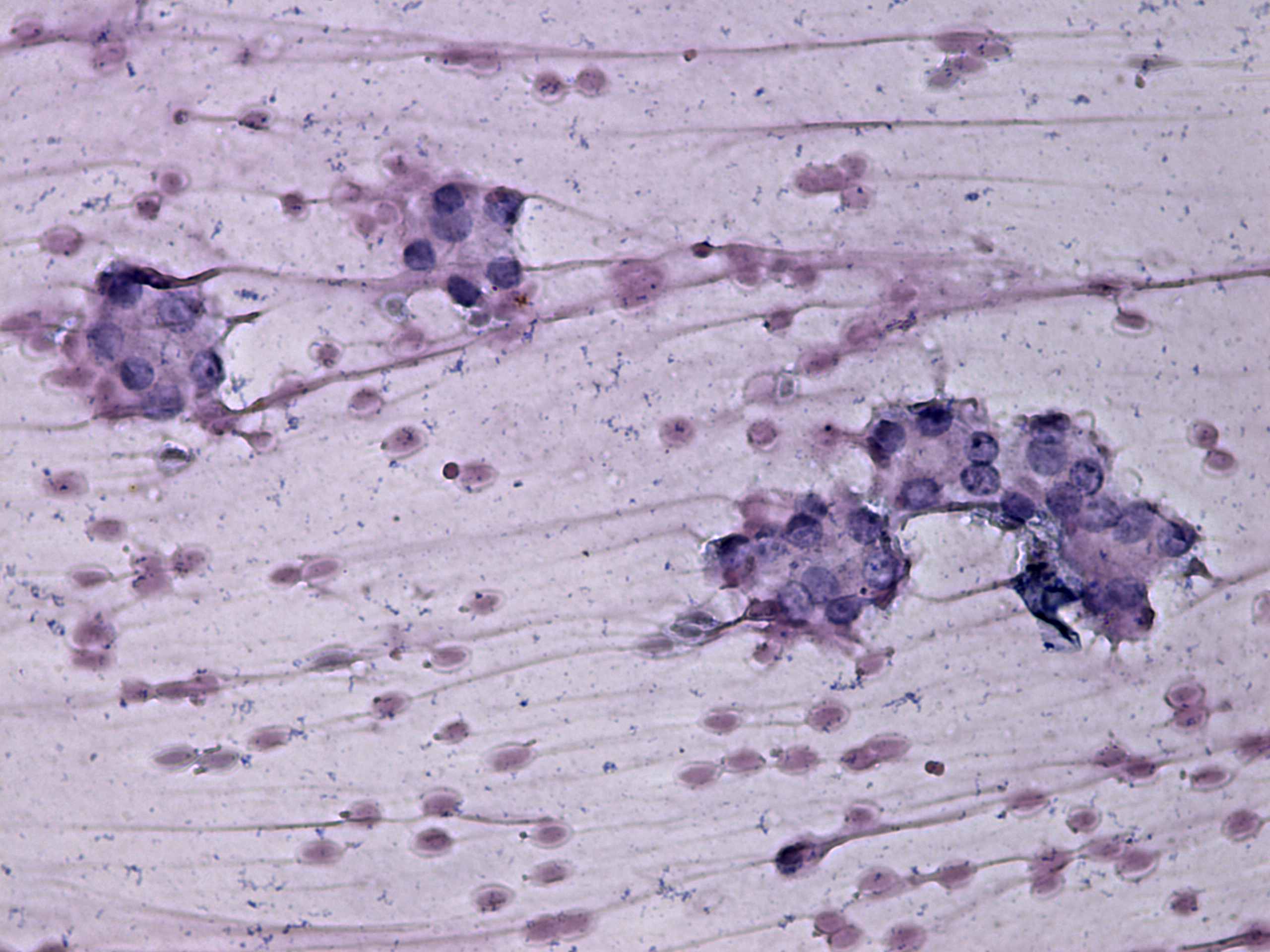
The role of complex diagnosis - follicular proliferation - Case 9. (cytologic picture 4)
|
|
|
|
|
Pap-smear, 400x. Microfollicles are demonstrated in this image.

