Menu
Case histories
Lectures
A new approach
List of cases
Videorecords
Pitfalls
Course book
Course on US
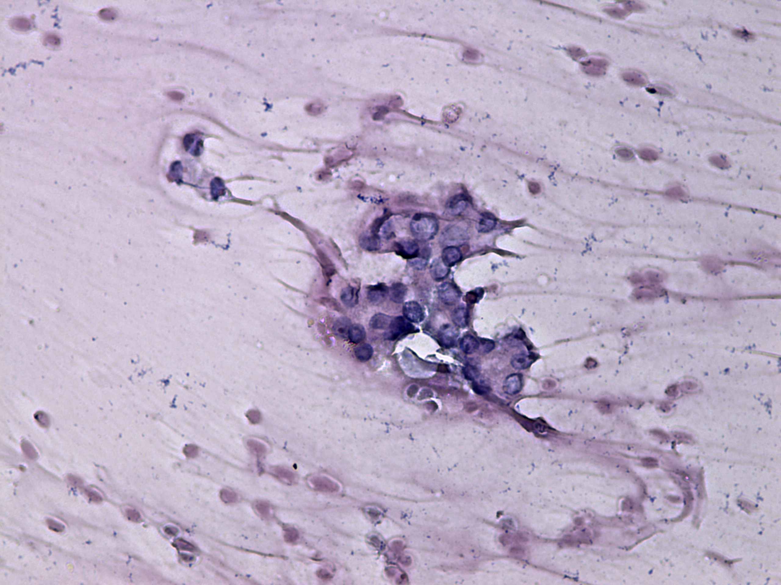
The role of complex diagnosis - follicular proliferation - Case 9. (cytologic picture 5)
Pap-smear, 400x. Follicular cells present degenerative changes.