Menu
Case histories
Lectures
Oxyphilic adenoma
List of cases
Videorecords
Pitfalls
Course book
Course on US
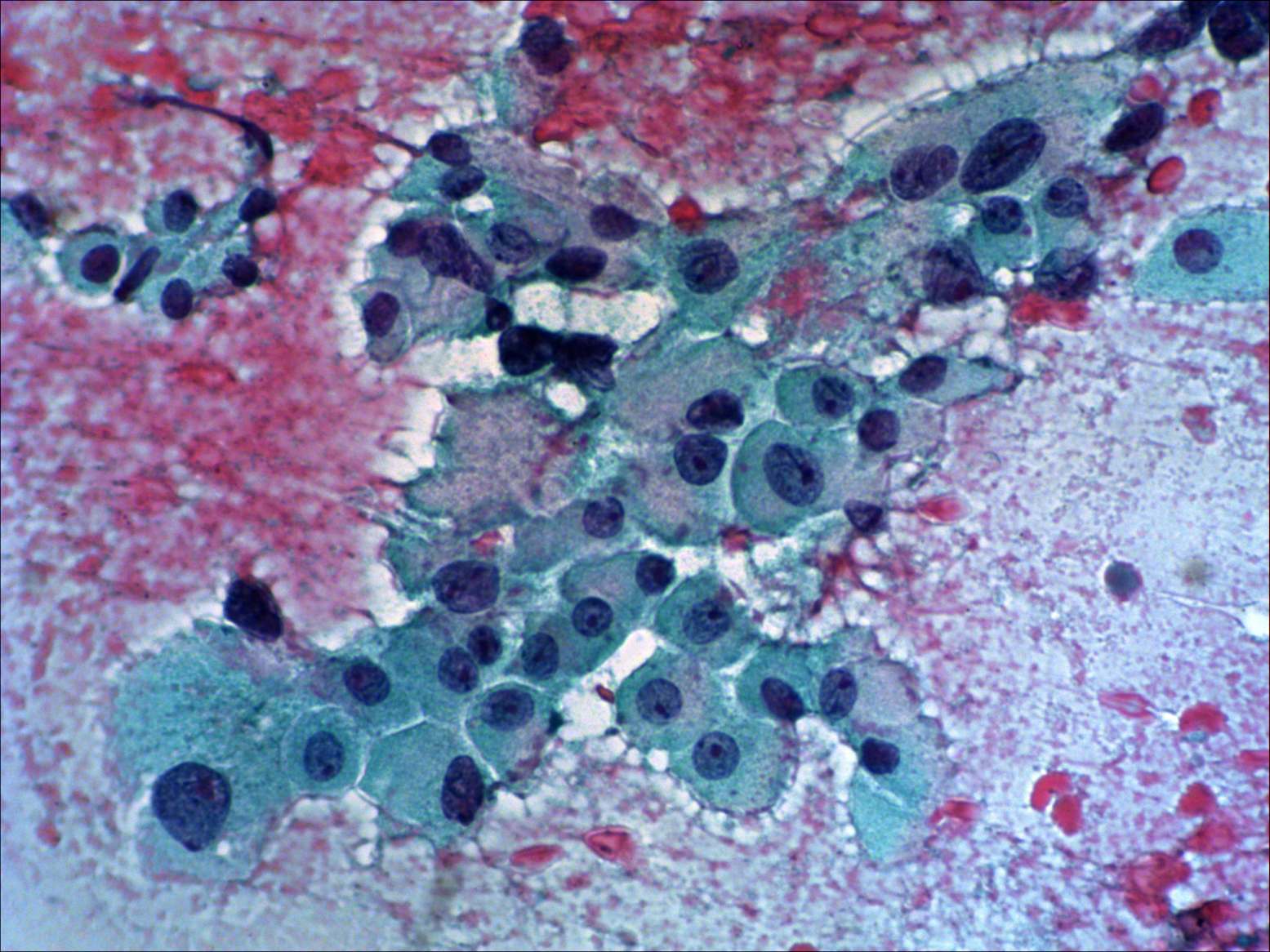
Oxyphilic adenoma - Case 19. (cytologic picture 6)
Pap-smear, 400x. Note the presence of prominent nucleoli.