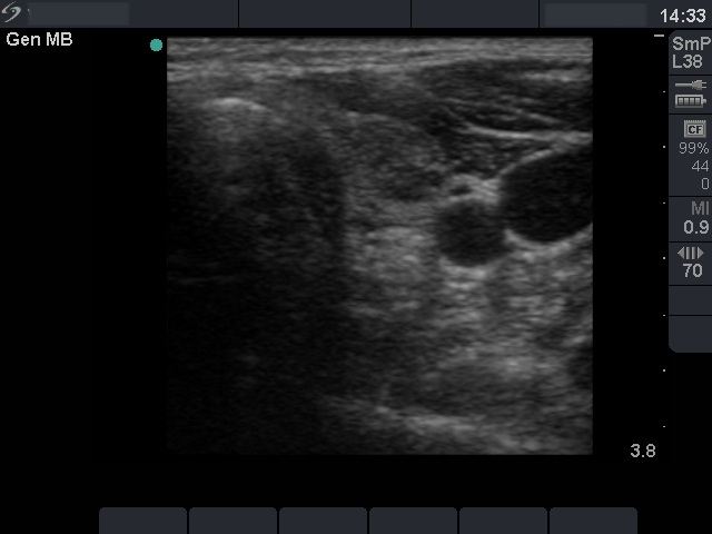
Oxyphilic adenoma - Case 19. (ultrasonographic picture 4)


Previous picture Back to Case Next picture


Left lobe, horizontal scan. A hypoechogenic inhomogeneous nodule in the lobe. It contains microcalcifications.

mask