Menu
Case histories
Lectures
Follicular adenoma
List of cases
Videorecords
Pitfalls
Course book
Course on US
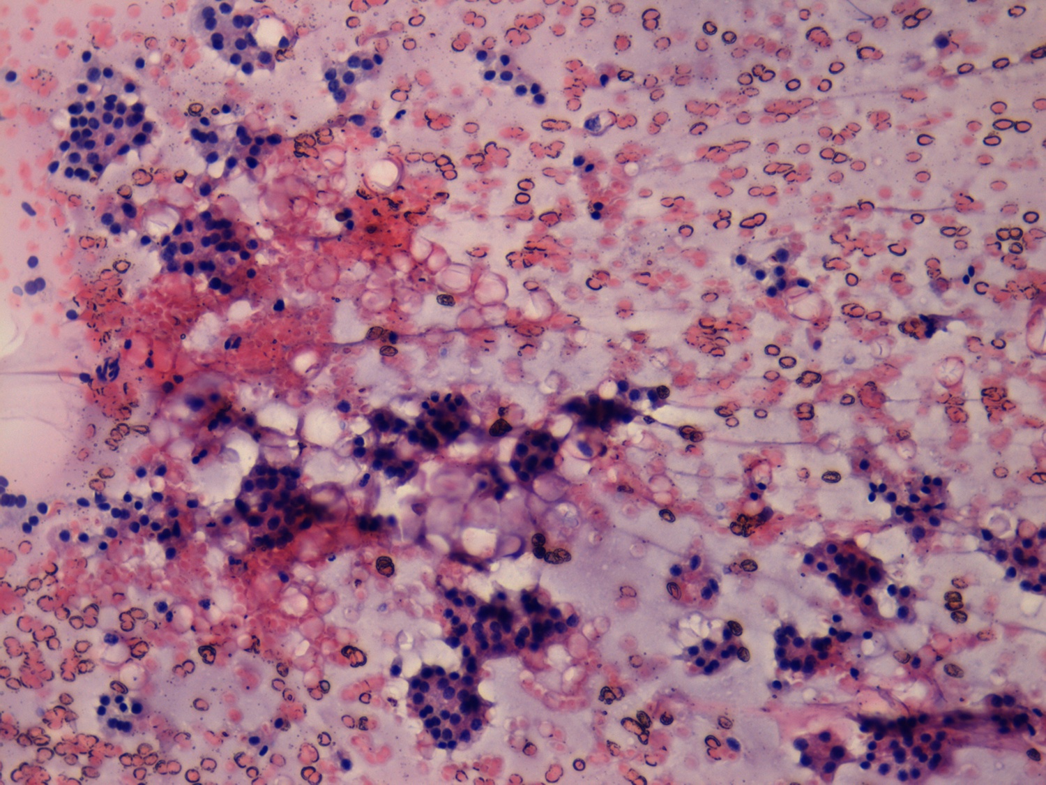
Follicular adenoma - Case 29. (cytologic picture 2)
Pap-smear, 200x. Micro- and normofollicles predominate the smear.