Menu
Case histories
Lectures
De Quervain's thyroiditis
List of cases
Videorecords
Pitfalls
Course book
Course on US
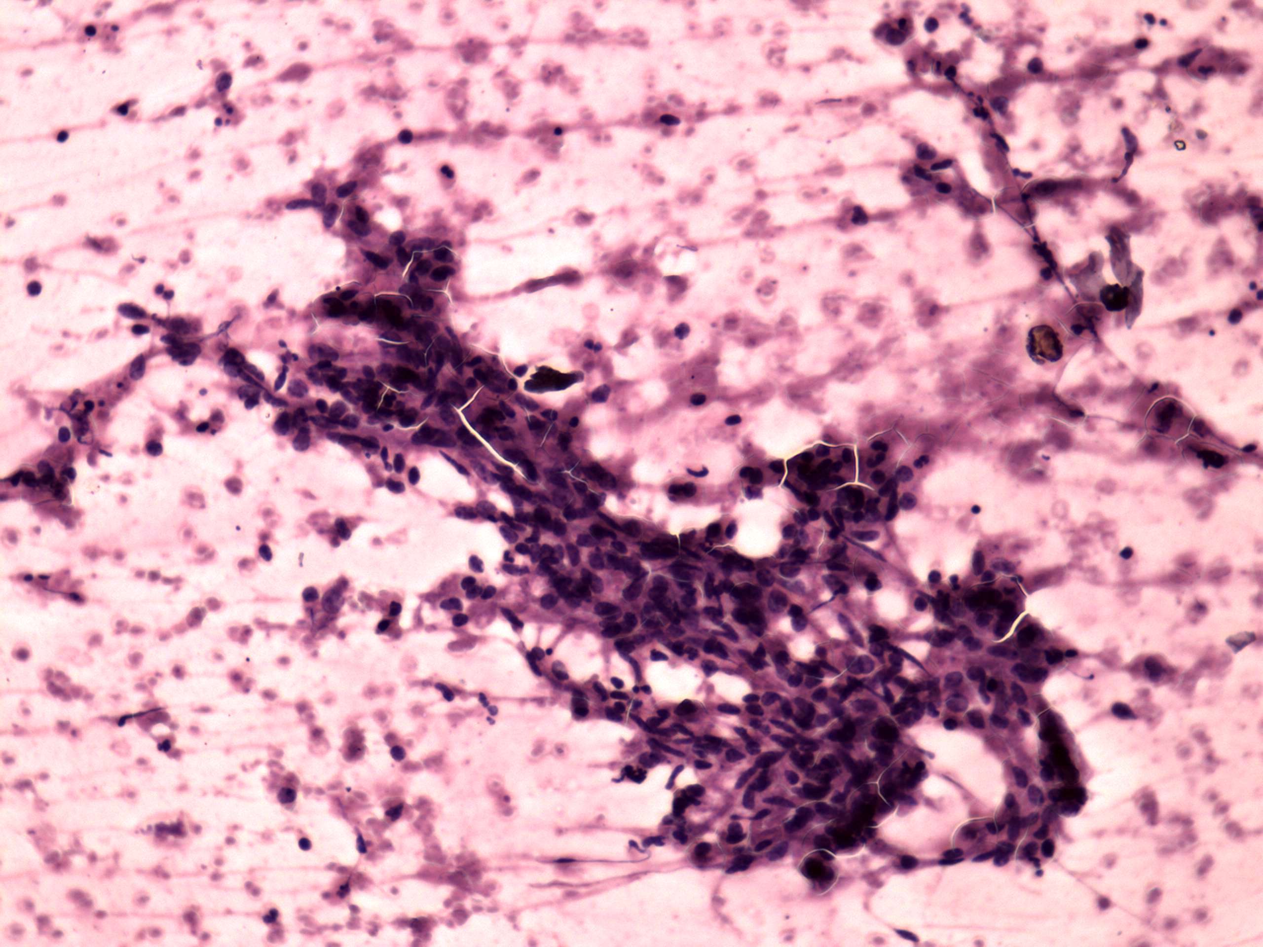
Subacute granulomatous de Quervain's thyroiditis - Case 19. (cytologic picture 3)
Pap-smear, 200x. A large multinucleated cell composed of elongated epitheloid cells
.