Subacute granulomatous de Quervain's thyroiditis - Case 19. |
|
Clinical presentation: a 52-year-old woman with fever and painful thyroid for a week. She suffered from upper airways infection two months before the present examination.
Palpation: both thyroids were hard and painful.
Functional state: mild hyperthyroidism with TSH-level 0.01 mIU/L, FT4 23.1 pM/L, We 68 mm/H, CRP 13.8 mg/L.
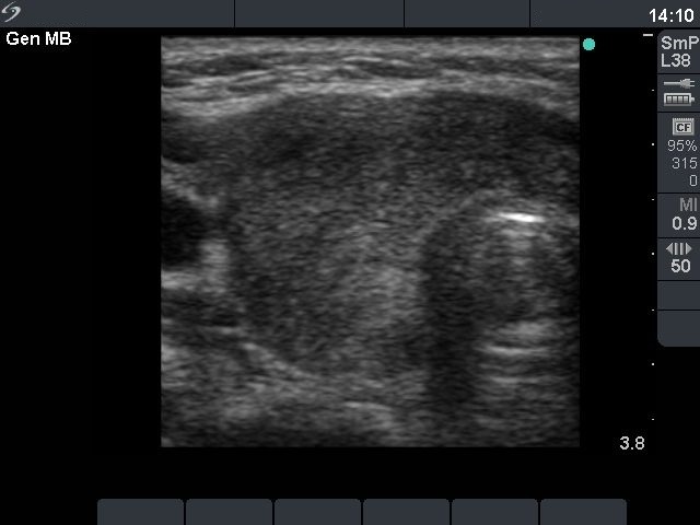
Ultrasonography: diffusely moderately hypoechogenic lobes with several circumscribed, even more hypoechogenic areas with blurred border.
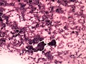
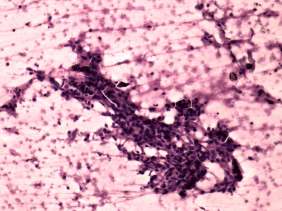
Cytological and final diagnosis: subacute, granulomatous de Quervain's thyroiditis.
Suggestion: steroid therapy.










