Menu
Case histories
Lectures
De Quervain's thyroiditis
List of cases
Videorecords
Pitfalls
Course book
Course on US
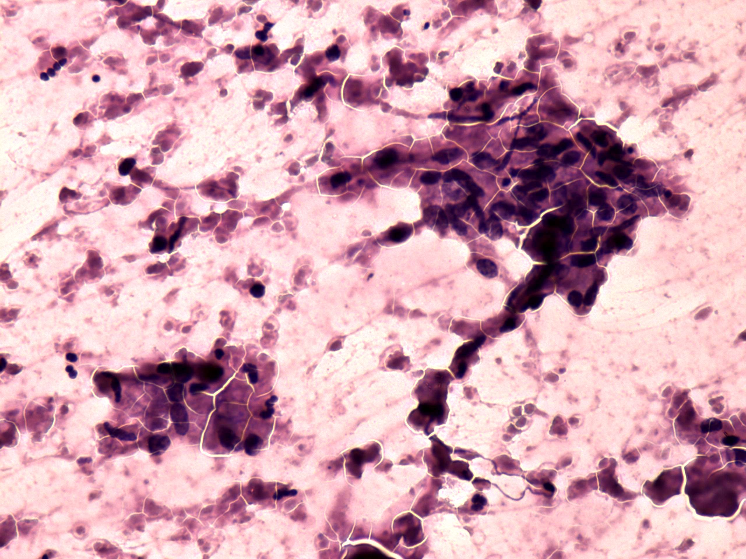
Subacute granulomatous de Quervain's thyroiditis - Case 19. (cytologic picture 6)
Pap-smear, 400x. Note ingested thick colloid within the multinucleated cells.