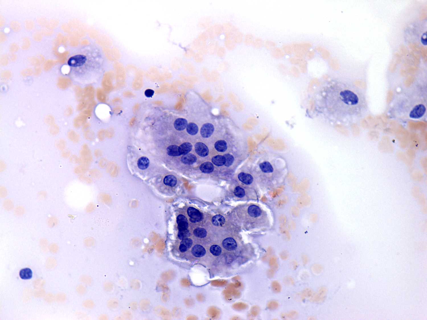
Ethanol sclerotherapy: non-toxic solid nodules - Case 2
Initial investigation (cytologic picture 3)
|
|
|
|
|
Pap-smear, 400x. Follicular cells are of even size. Note signs of cystic degeneration.

