Ethanol sclerotherapy: non-toxic solid nodules - Case 2 |
|
Clinical presentation: a 43-year-old kindergarten teacher requested a second opinion. She had a nodule known for years. In the last 6 months she felt increase in nodule size which caused compression signs while laying and also temporary hoarseness. She was advised to undergo surgery. Considering the risk of recurrent nerve palsy which might cause severe professional problems, the patient visited us in order to treat the nodule with sclerotherapy. Previous cytological examination resulted in a benign colloid goiter.
Palpation: a nodule in the right lobe.
Functional state: euthyroidism with TSH 0.81 mIU/L.
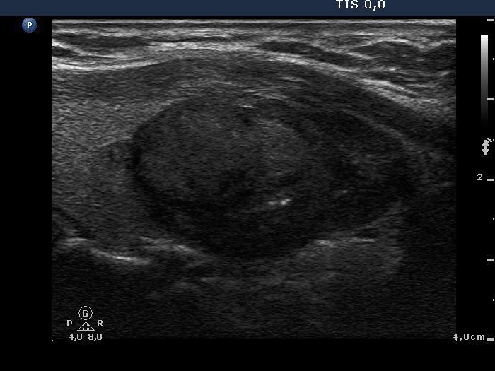
Ultrasonography: the thyroids were echonormal. There was an echonormal nodule occupying almost the entire right lobe. The lesion displayed a halo sign, cystic degeneration and presented perinodular blood flow.
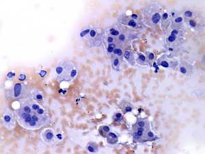
Aspiration cytology: resulted in benign cystic-colloid goiter.
5 sessions of sclerotherapy were performed. We demonstrate the 1st and 4th session.
Follow-up examination three months and one year later: the patient had no complaints and could not feel the lump.
Comment: the presence of groove-like intranodular projections has very limited if any significance in degenerated cells.





















