Other rare thyroid tumors - Case 4.
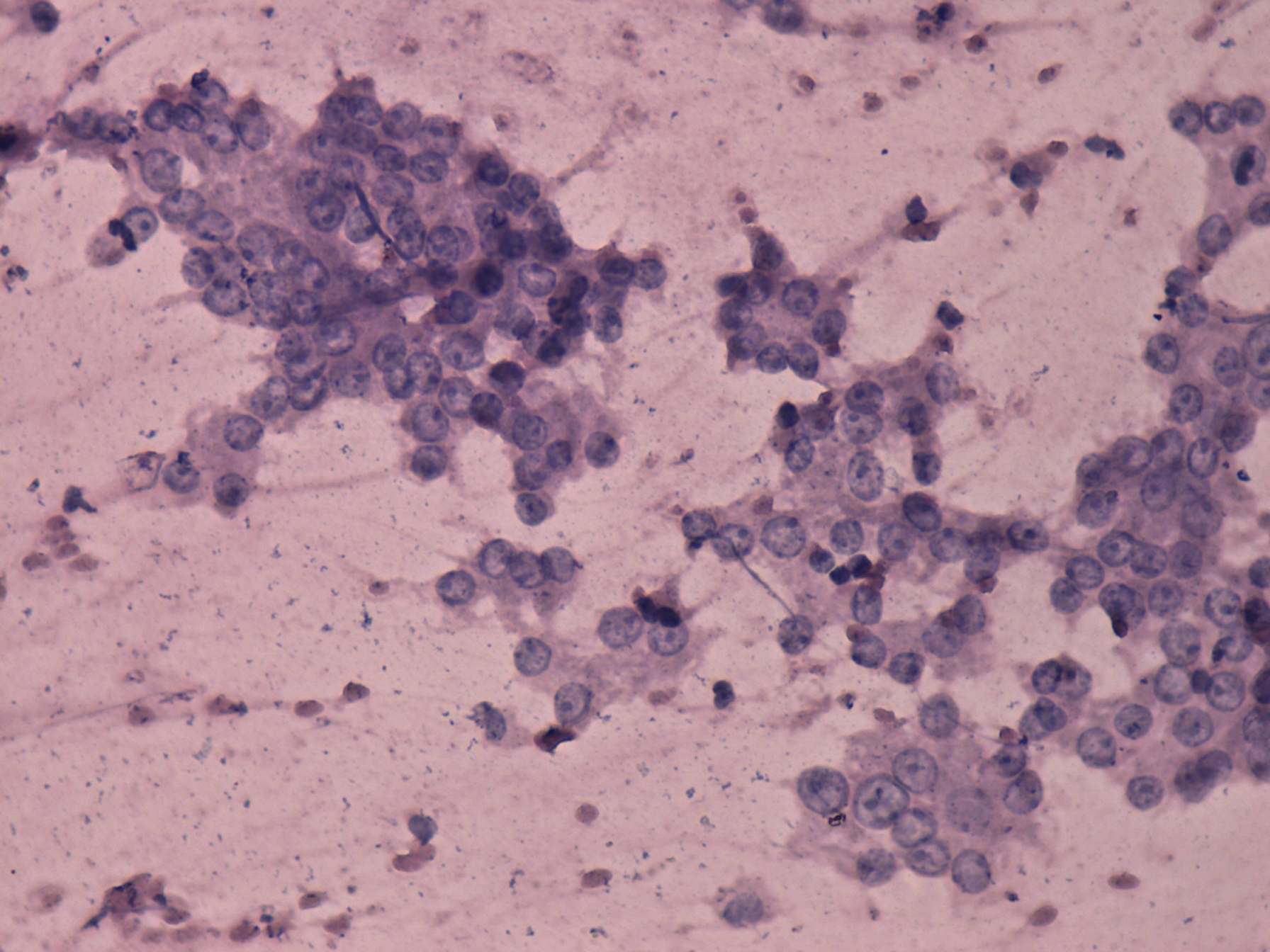
Poorly differentiated inzular carcinoma (cytologic picture 5)
| |
|
|
|
Pap-smear, 400x. Atypical polygonal cells resembling those found in medullary cancer predominate the smear. No nuclear atypia can be observed.

