Other rare thyroid tumors and non-thyroidal lesions in the region of the thyroid - Case 4.Poorly differentiated inzular carcinoma |
|
Clinical data: a 25-year-old woman was referred for an evaluation of a newly discovered nodule three months after her delivery.
Palpation: a moderately firm nodule was palpable in the right lobe.
Functional state: euthyroidism (TSH-level 1.09 mIU/L).
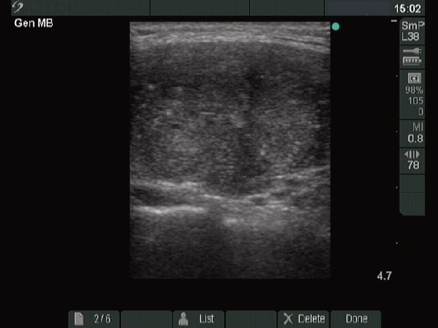
Ultrasonography : there was a moderately hypoechogenic inhomogeneous nodule with microcalcifications in the right lobe. The borders of the nodule were blurred. The intranodular blood flow was increased.
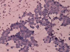
Cytological diagnosis: follicular tumor.
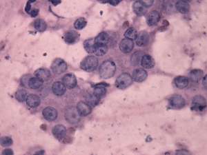
Histopathology: poorly differentiated inzular carcinoma.









