Other rare thyroid tumors - Case 4.
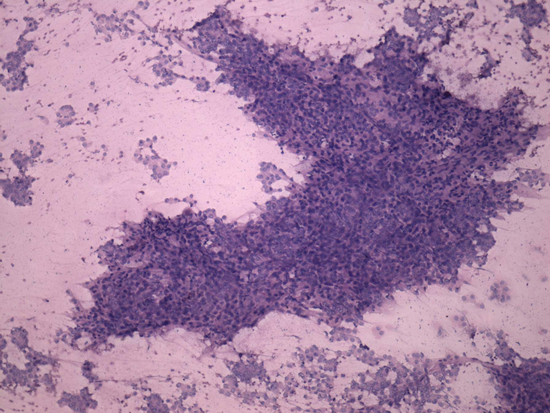
Poorly differentiated inzular carcinoma (cytologic picture 3)
|
|
|
|
|
Pap-smear, 200x. Microfollicular proliferation. The cells have abundant cytoplasm and are of even size.

