Other rare thyroid tumors - Case 4.
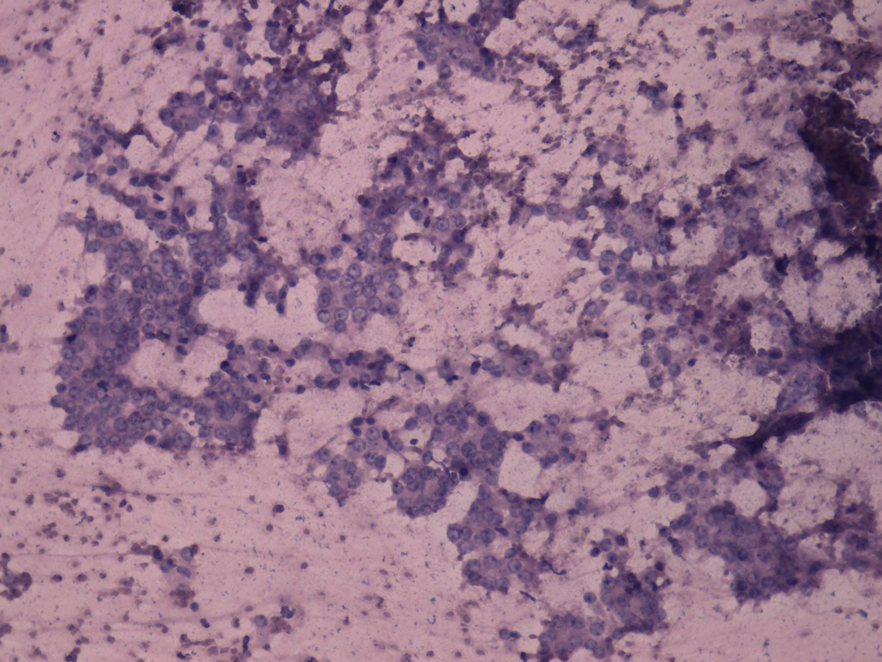
Poorly differentiated inzular carcinoma (cytologic picture 2)
|
|
|
|
|
Pap-smear, 200x. Regular microfollicular structure without nuclear crowding or overlapping.

