Menu
Case histories
Lectures
A new approach
List of cases
Videorecords
Pitfalls
Course book
Course on US
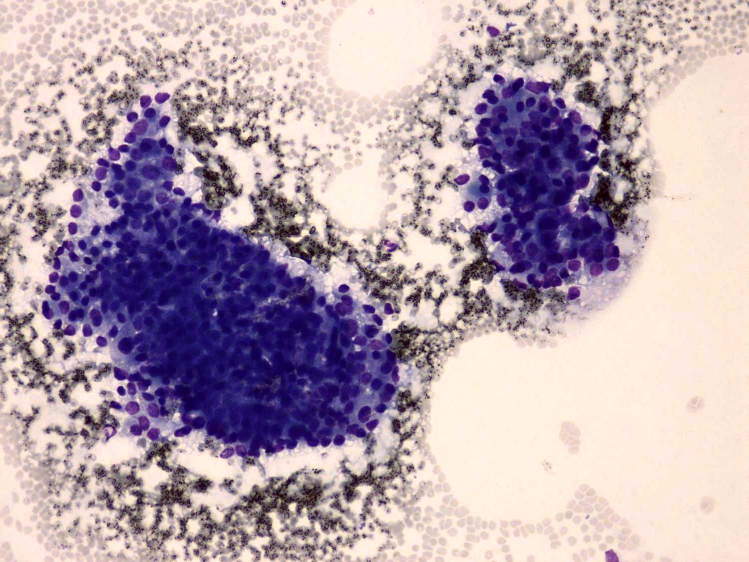
The role of complex diagnosis - follow-up of follicular lesions - Case 6. (cytologic picture 4)
Wright-Giemsa staining, 400x. Multilayered sheets composed of even sized follicular cells.