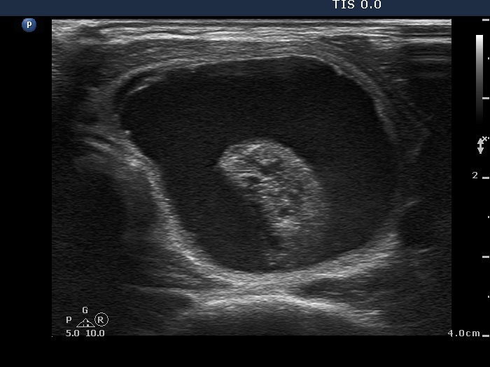
Ethanol sclerotherapy: other examples - Case 3: treatment of a gelatinous thyroid cyst

Second session of therapy (ultrasonographic picture 1)


Previous picture Back to Case Next picture

Right lobe, longitudinal scan

Right lobe, horizontal scan. The lesion significantly increased in size. The inhomogeneous mass might correspond to necrotic material.

mask