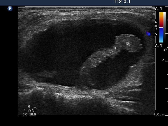
Ethanol sclerotherapy: other examples - Case 3: treatment of a gelatinous thyroid cyst
Second session of therapy (ultrasonographic picture 3)
|
|
|
|
Right lobe, longitudinal scan, color Doppler mode. The lesions does not present signs of blood flow.
