Follicular adenoma - Case 25. |
|
Clinical data: a 61-year-old woman with an elevated TSH-level detected on screening.
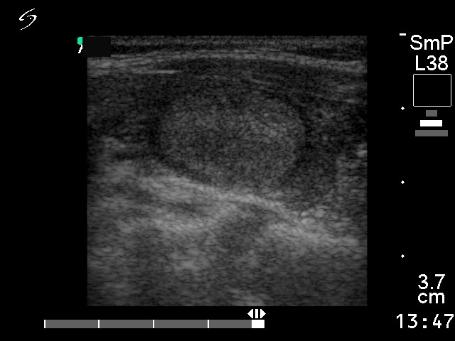
Palpation: a solitary nodule in the left lobe.
Functional state: subclinical hypothyroidism with TSH-level 5.00 mIU/L.
Ultrasonography: a solitary echonormal nodule within the moderately hypoechogenic left lobe.
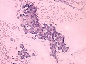
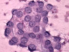
Cytological report: suspicion of papillary cancer.
Suggestion: surgery.
Histopathology: microfollicular adenoma and focal lymphocytic thyroiditis.
Comment: in our practice with more than 42,000 FNACs only 5 patients occurred who had carcinoma in an echonormal nodule. Nevertheless, the echo structure of a nodule is influenced by the surrounding normal parenchyma. So, the significance of an echonormal nodule in the case of an underlying Hashimoto thyroiditis (hypoechogenic thyroid) differs from that observed in a patient without thyroiditis, i.e. echonormal thyroid.










