Follicular adenoma - Case 24. |
|
Clinical data: a 52-year old man with a nodule discovered on a carotid Doppler examination.
Palpation: no abnormality.
Functional state: euthyroidism with TSH-level 1.08 mIU/L.
Ultrasonography disclosed a solitary hypoechogenic nodule in the dorsal part of the right lobe with capsule detected only on color mode.
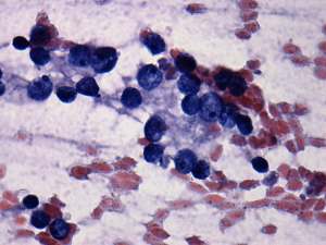
Cytology: microfollicular proliferation with no colloid in the background.
Final combined cytological-sonographic-clinical diagnosis: follicular tumor.
Histopathological diagnosis: follicular adenoma.







