Menu
Case histories
Lectures
Graves' disease
List of cases
Videorecords
Pitfalls
Course book
Course on US
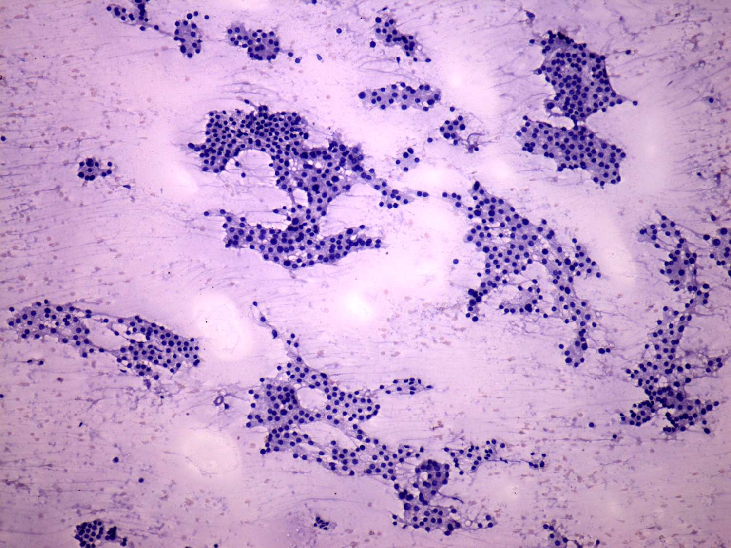
Graves' disease - Case 26. (cytologic picture 1)
Pap-smear, 100x. Follicular cells in monolayered sheets.