Graves' disease - Case 26. |
|
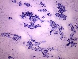
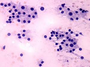
Clinical data: a 34-year-old woman was referred for aspiration cytology. The patient was diagnosed with hyperthyroidism. Cytology was performed from a nodule in the right thyroid and resulted atypia of unknown significance.
Palpation: the thyroids were moderately firm. No nodule could be palpated.
Result of blood test: hyperthyroidism with TSH-level 0.001 mIU/L and FT4 49.7 pM/L.
Ultrasonography: a hypoechogenic, inhomogeneous thyroid was found with increased vascularization. There were several discrete areas within the thyroid including a more hypoechogenic one in the dorsal part of the right lobe. Neither of these fit a nodule.
Cytology: was performed from the hypoechogenic lesion in the dorsal part of the right lobe.
Cytological diagnosis: benign pattern corresponding to Graves' hyperthyroidism.









