Graves' disease - Case 25. |
|
Clinical data: a 21-year-old woman was referred for an evaluation of hyperthyroidism.
Palpation: no abnormality.
Results of blood tests: moderate degree of hyperthyroidism (TSH undetectable, FT4 30.8 pM/L).
Ultrasonography: the thyroids were echonormal and contained around 15% hypoechogenic areas. The vascularization was minimally increased.
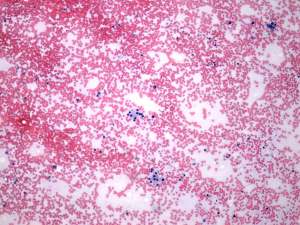
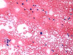
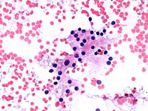
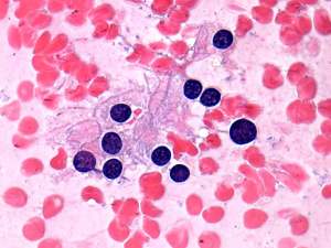
Cytology: was performed from one of the hypoechogenic areas.
Cytological diagnosis: a benign pattern corresponding to hyperthyroidism.
We administered daily 15 mg methimazole.
We gained the result of elevated TSAb (5.8 U/L) 7 days later.
Comment: there were two reasons of FNAC. First, considering the moderate degree of hyperthyroidism a hashitoxicosis had to be considered. Secondly, to avoid delay in appropriate therapy and to avoid an unnecessary visit. We gain the cytological diagnosis within half an hour while TSAb requires days.










