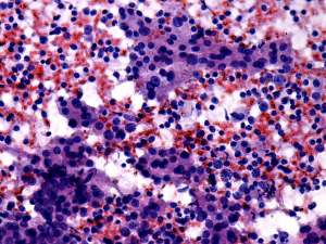
Chronic lymphocytic thyroiditis - Case 61. |
|
Clinical data: a 34-year-old woman was referred for an evaluation of a thyroid nodule discovered on a routine examination.
Palpation: a small firm nodule was palpable in the right thyroid.
Result of blood tests: subclinical hypothyroidism with TSH-level 4.03 mIU/L, FT4 12.2 pM/L.
Ultrasonography: the thyroid was echonormal. Several small hypoechogenic lesions were found in both lobes. The dimensions of the largest lesion were 8x4x11 mm. These circumscribed lesions did not fit a nodule.
Cytological diagnosis: Hashimoto's thyroiditis.










