Menu
Case histories
Lectures
Lymphocytic thyroiditis
List of cases
Videorecords
Pitfalls
Course book
Course on US
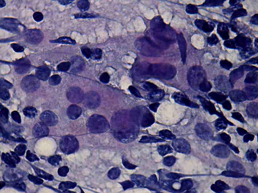
Chronic lymphocytic thyroiditis - Case 75. (cytologic picture 5)
Pap-smear, 1000x. Note the lack of prominent nucleoli. Follicular cells present anisonucleosis.