Menu
Case histories
Lectures
Follicular cancer
List of cases
Videorecords
Pitfalls
Course book
Course on US
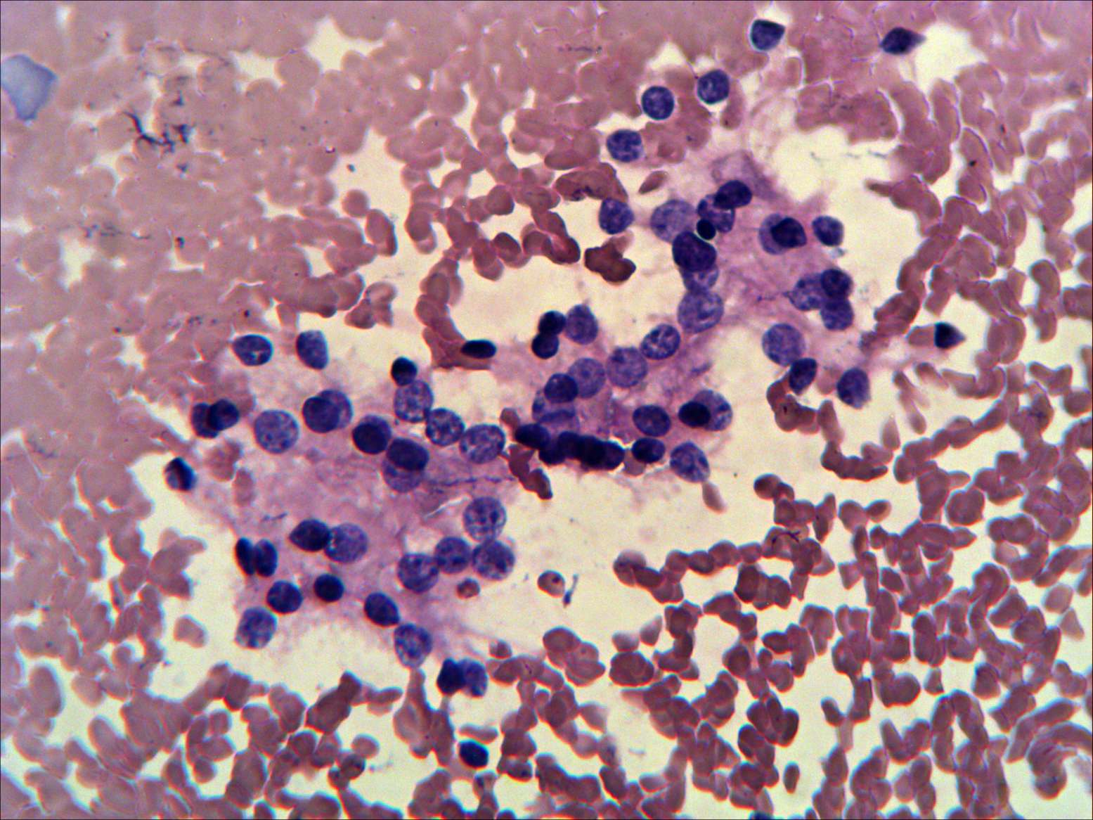
Follicular carcinoma - Case 10. (cytologic picture 6)
Pap-smear, 400x. Normofollicles are presented. Note the presence of prominent nucleoli