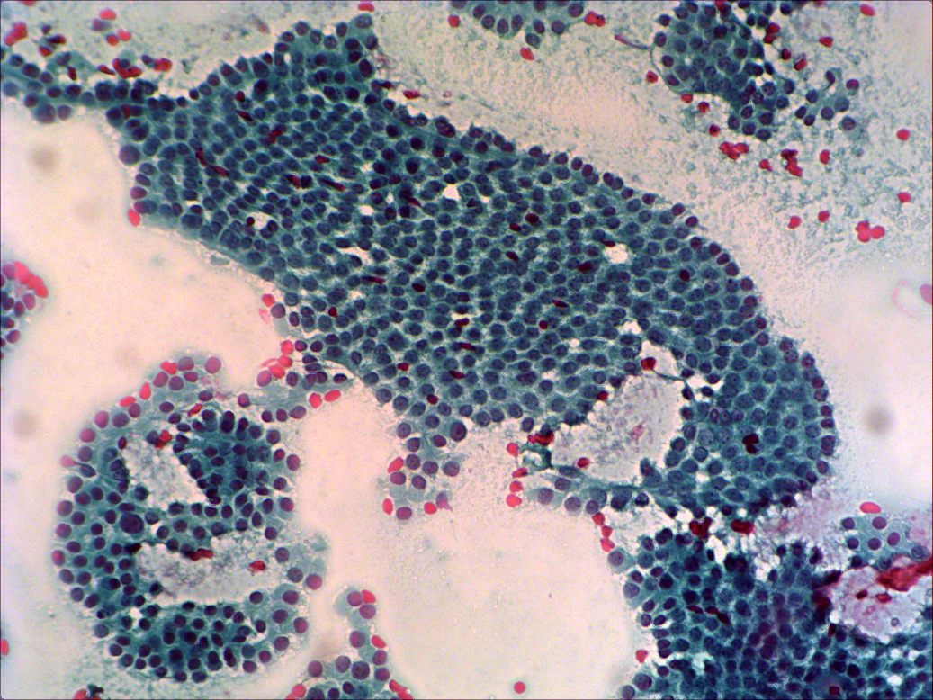
Pap-smear, 200x. The follicular cells are arranged in microfollicles and in large monolayered sheets.