Menu
Case histories
Lectures
Other rare tumors and non-thyroidal lesions
List of cases
Videorecords
Pitfalls
Course book
Course on US
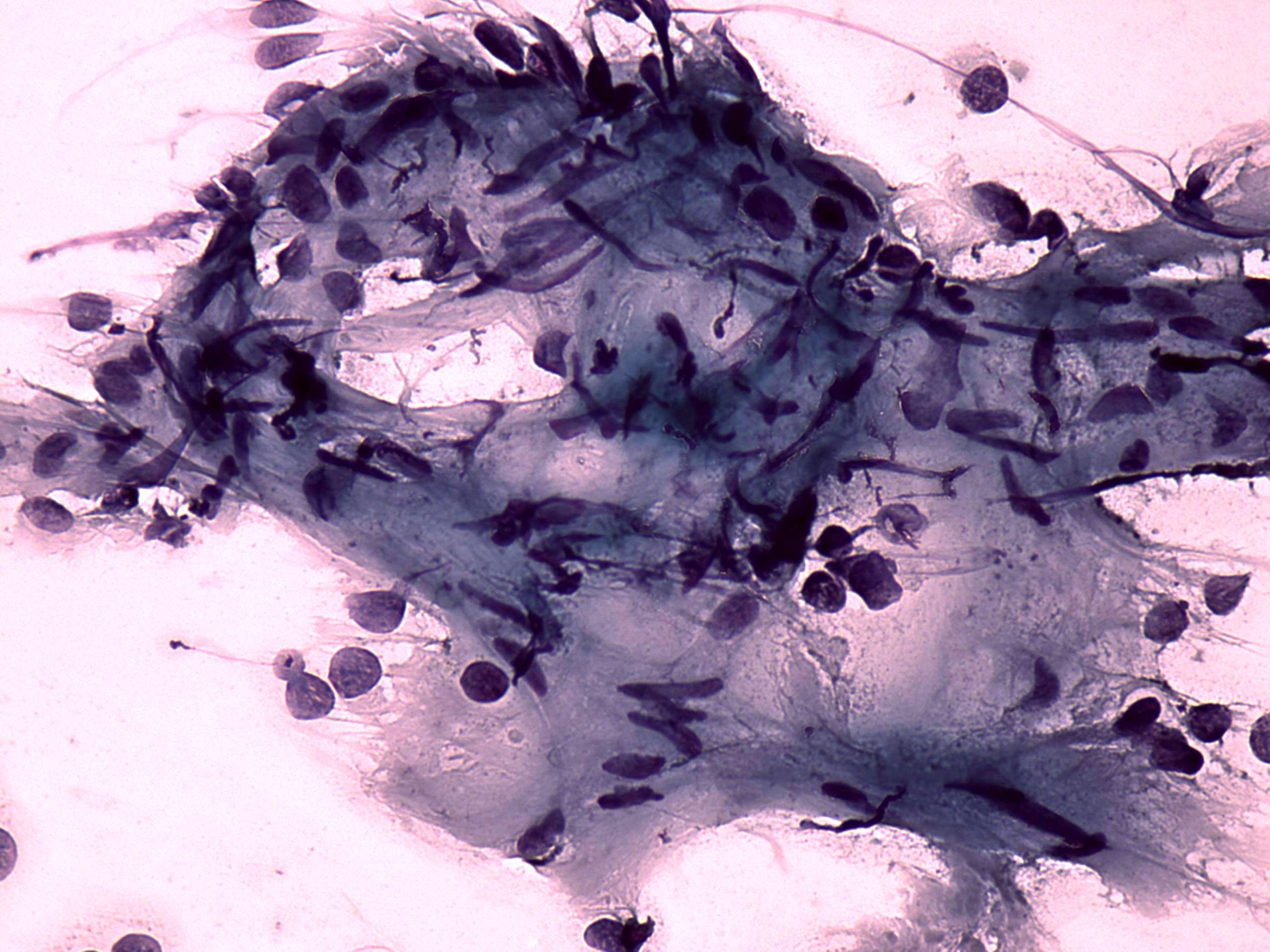
Other rare thyroid tumors - Case 13.
Hyalinizing trabecular adenoma
(cytologic picture 5)
Pap-smear, 400x. Fibrovascular stroma is presented.