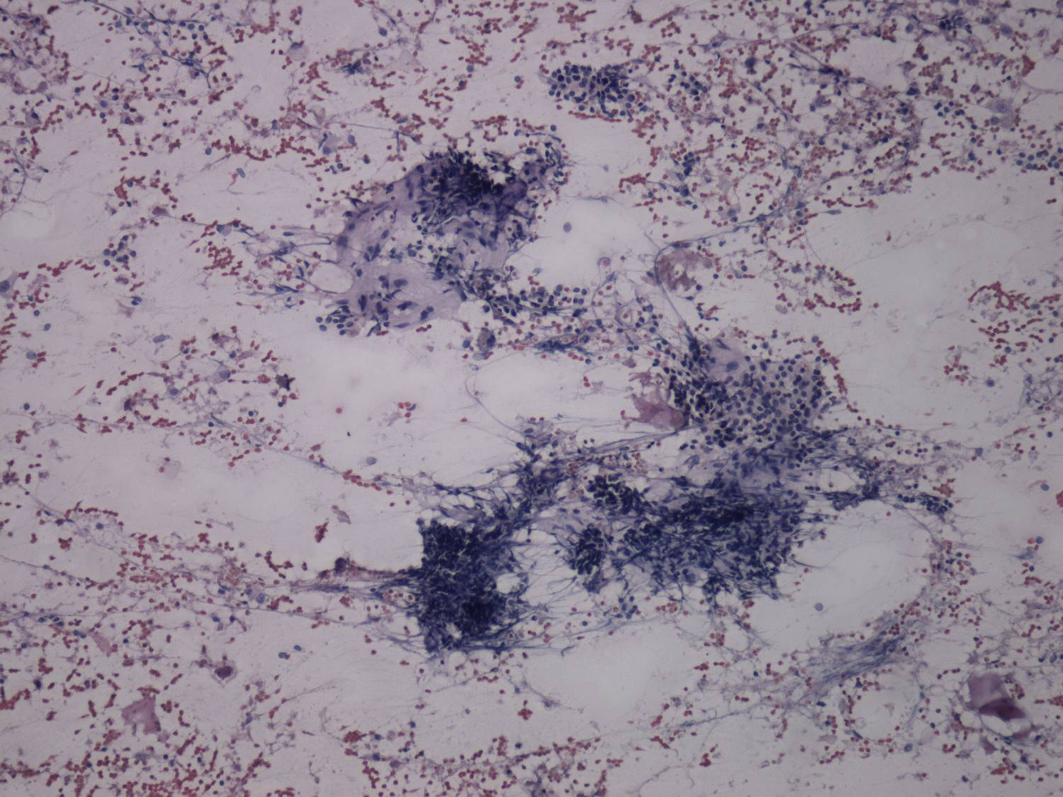
Subacute granulomatous de Quervain's thyroiditis - Case 31. (cytologic picture 1)
|
|
|
|
|
Pap-smear, 100x. Inflammatory and multiple giant cells and nuclear debris are demonstrated in this picture.

