Subacute granulomatous de Quervain's thyroiditis - Case 31. |
|
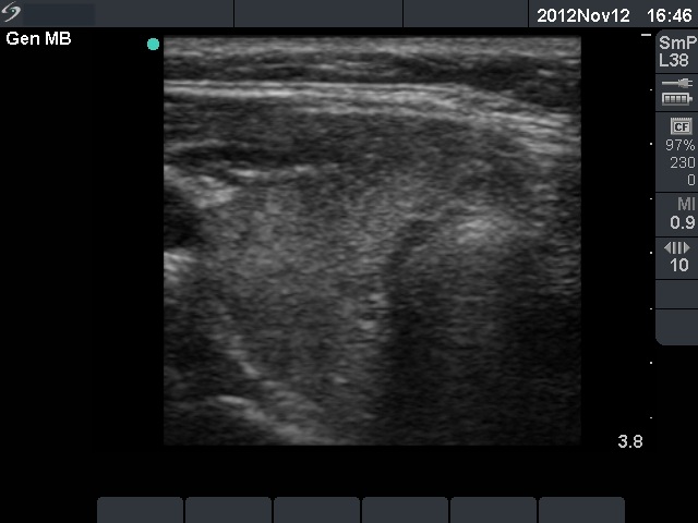
First examination (1st and 2nd rows of images):
Clinical presentation: a 45-year-old man was referred for an evaluation with typical complaints of subacute thyroiditis: fever, pain in the region of the thyroid lasting for 2 months .
Palpation: both thyroids were firm and painful.
Functional state: moderate degree of hyperthyroidism with TSH-level 0.001 mIU/L, FT4 29.1 pM/L. ESR was 70 mm/H while CRP 20.8 mg/L.
Ultrasonography: there were multiple hypoechogenic areas with blurred borders within echonormal background. The vascularization was decreased.
Cytological diagnosis: subacute, granulomatous de Quervain's thyroiditis.
Suggestion: steroid therapy.
Follow-up examination 4 weeks later (3rd row of images):
He had no complaints with euthyroid hormone levels (TSH 2.41 mIU/L, FT4 14.1 pM/L) and normal CRP (1.1 mg/L) and ESR 9 mm/H.
Ultrasonography demonstrated an almost complete normalization.













