Menu
Case histories
Lectures
De Quervain's thyroiditis
List of cases
Videorecords
Pitfalls
Course book
Course on US
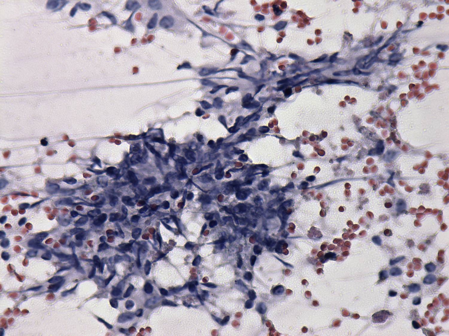
Subacute granulomatous de Quervain's thyroiditis - Case 31. (cytologic picture 4)
Pap-smear, 400x. Group of elongated epitheloid cells.