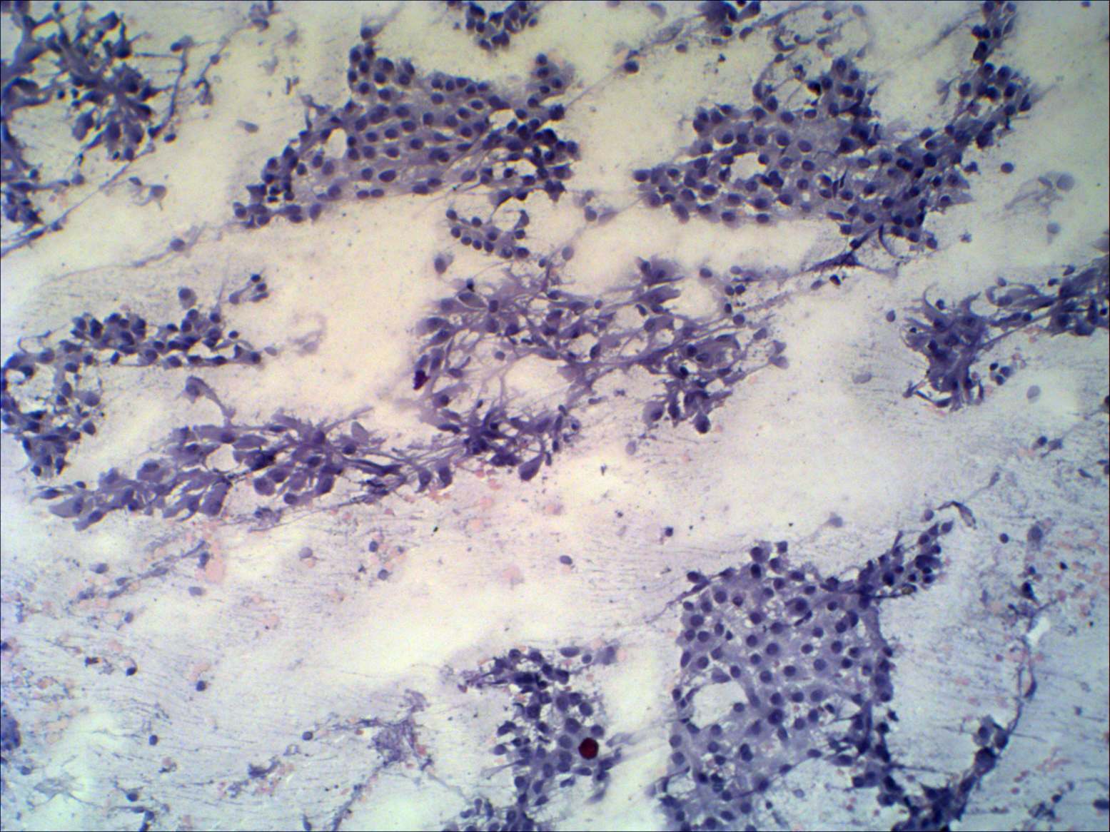
Chronic lymphocytic thyroiditis - Case 56. (cytologic picture 1)
|
|
|
|
|
Pap-smear, 100x. There is no colloid in the background. Oxyphilic cell clusters are seen mixed with lymphocytes.

