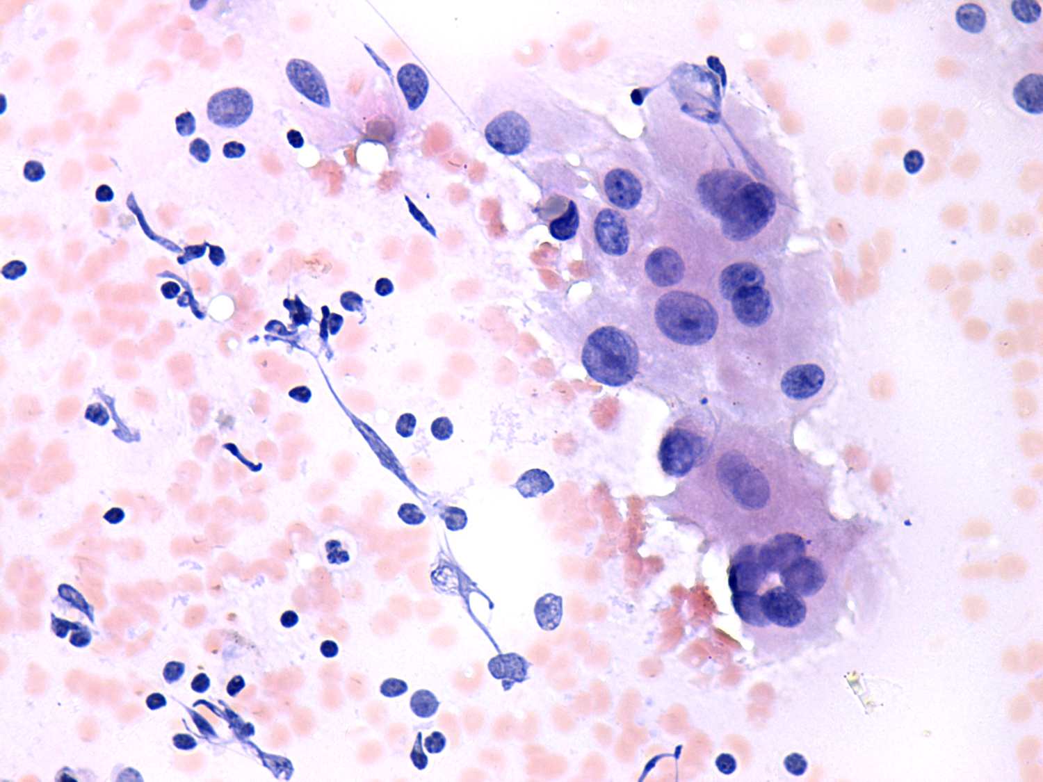
Chronic lymphocytic thyroiditis - Case 1. (cytologic picture 4)
|
|
|
|
|
Pap-smear, 400x. Follicular cells exhibit anisonucleosis which has no relevance in the case of Hashimoto's thyroiditis.

