Menu
Case histories
Lectures
Follicular adenoma
List of cases
Videorecords
Pitfalls
Course book
Course on US
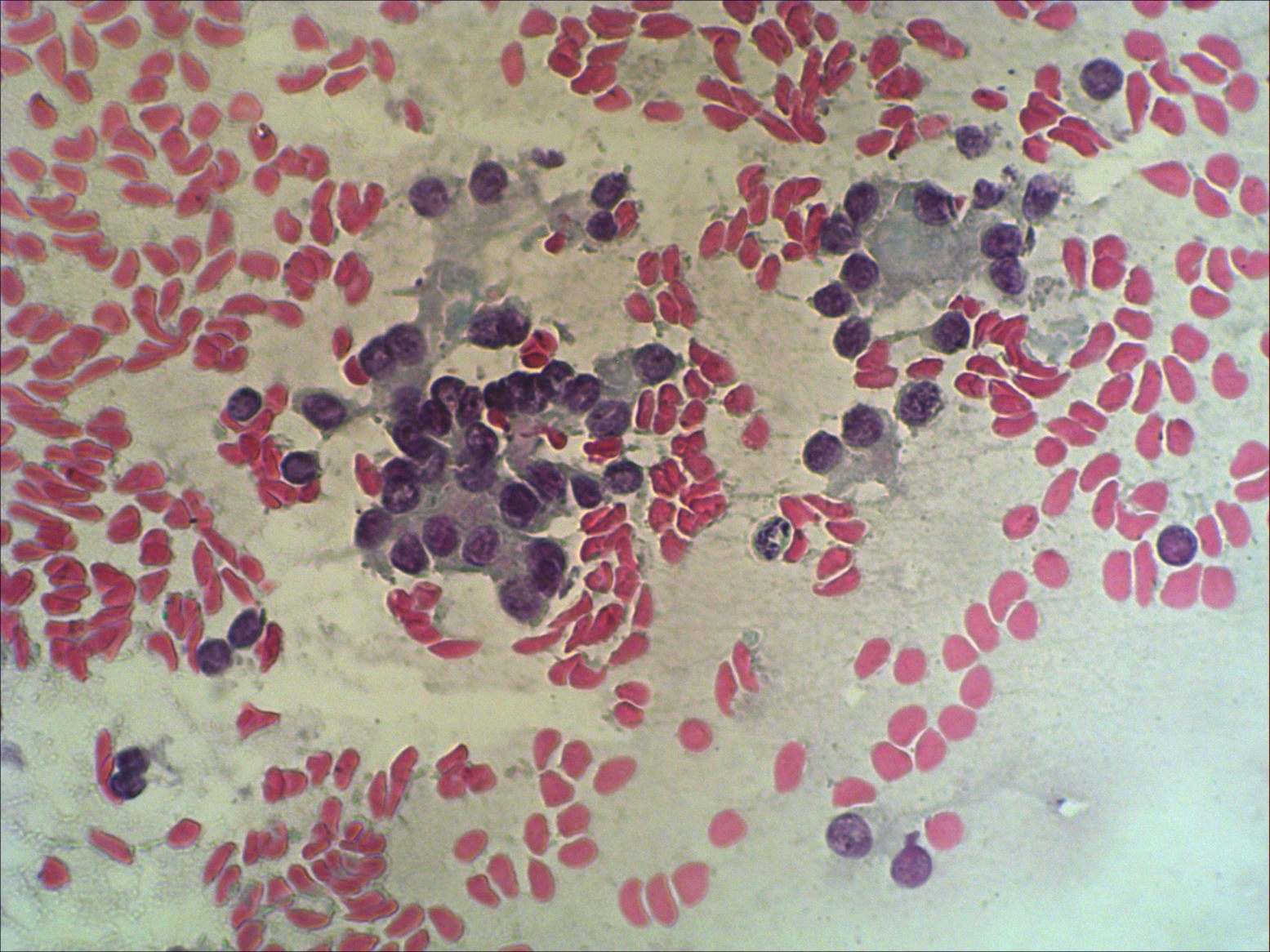
Follular adenoma - Case 31. (cytologic picture 5)
Pap-smear, 200x. Follicular cells exhibite degenerative changes.