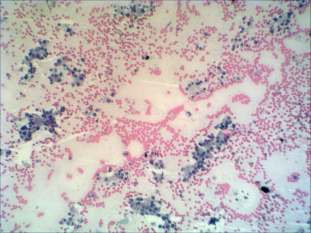
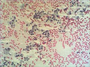
Follicular adenoma - Case 31. |
|
Clinical data: a 41-year-old woman was referred for an evaluation of a thyroid nodule that had been discovered 3 months earlier.
Palpation: a solitary nodule in the right lobe.
Hormonal examination: indicated euthyroidism.
Ultrasonography: revealed a solitary hypoechogenic nodule with halo sign and perinodular blood flow.
FNAC report was follicular tumor, with a suspicion of malignancy. Surgery was performed.
Histopathological examination: benign follicular adenoma.












