Follicular adenoma - Case 30. |
|
Clinical data: a 54-year-old woman was referred for an evaluation of thyroid enlargement and hyperthyroidism. She was treated for Graves' disease for 6 months. Initially TSAb was 12 U/L (normal value < 1.5).
Palpation: a nodule was palpable in the isthmus.
Results of blood tests: euthyroidism on daily 15 mg methimazole (TSH-level 0.18 mIU/L, FT4 12.1 pM/L, FT3 4.09 pM/L).
Scintigraphy: indicated a cold nodule.
Ultrasonography: the thyroids were already echonormal. (On the first visit a diffuse hypoechogenicity was found.) A hypoechogenic nodule with increased intranodular vascularization was detected in the isthmus.
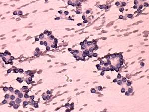
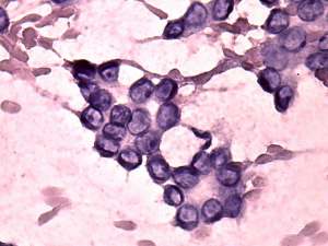
Cytological picture: no colloid can be seen in the background. Thyrocytes are found almost exclusively in microfollicles. The cells are uniform, contain prominent nucleoli within the pale nuclei. The presence of a few grooves is not specific.
Cytological diagnosis: atypical follicular tumor. The possibility of a papillary carcinoma cannot be excluded.
Histopathological diagnosis: trabecular adenoma.
Comment: it is worth analyzing the last two cytological images. There were intranuclear structures resembling groove and inclusion; these were in fact artifacts.







