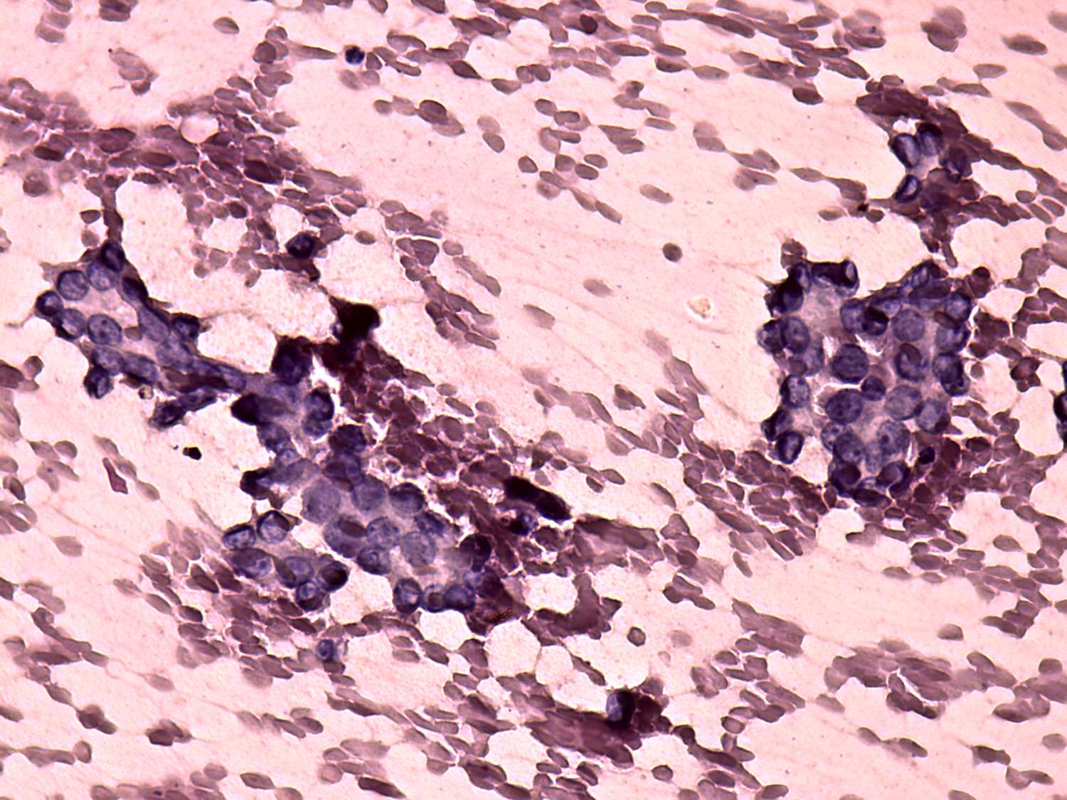
Pap-smear, 400x. Monolayered sheets of follicular cells - a mixed micro- and normofollicular pattern.