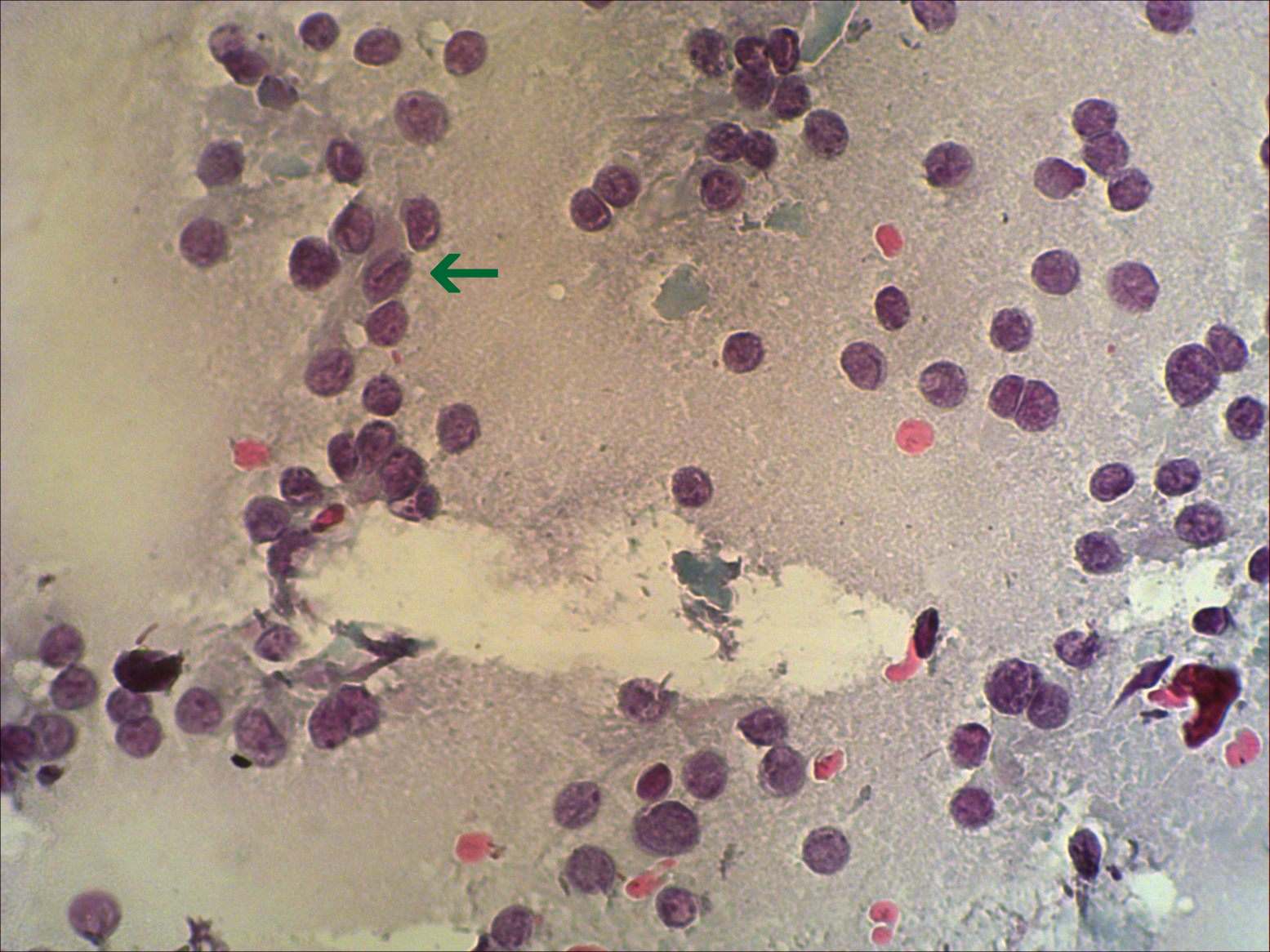
Pap-smear, 400x. Dispersed cells are presented in this image. There is a cell with a typical intranuclear groove (arrow).